ibidi社が提供する細胞観察装置の活用事例をご紹介
近年、がんの研究、創薬研究、再生医療などさまざまな研究分野において、「細胞の実際の挙動」を直接観察することのできるライブセルイメージングの応用範囲がますます広がっています。
ライブセルイメージングに特化した製品の開発を活発に行っている世界的企業のひとつであるドイツ ibidi社が開発した細胞観察装置の活用事例をご紹介します。
ibidi ステージトップインキュベーター(Silver Line)
製品特長
- 精細なステージコントロールが可能な計算されたデザイン
- インキュベーションチャンバーの軽量化により重量制限のある顕微鏡ステージへ適合可能
- シンプル化され利便性が向上した配線/ガス供給ライン
- 市販のスライド/ディッシュへの適合性がアップしたNewデザインのスライド/ディッシュ専用ホルダー
- 対物レンズヒーターibidi対物レンズヒーターユニバーサル(別売)の使用が可能に
SilverLineシステムは、顕微鏡観察中の最高レベルの焦点安定性およびXY方向の安定性を誇り、高解像度アプリケーションや超解像顕微鏡法に最適です。
活用事例
創傷治癒アッセイ–WoundHealingAssays-
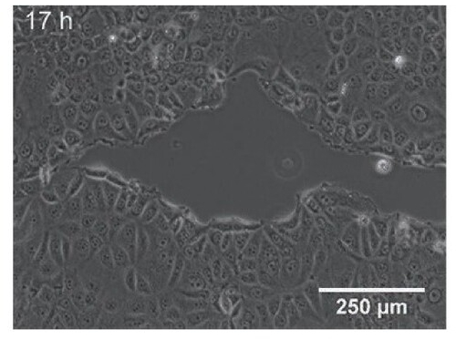
創傷治癒アッセイにおけるギャップ閉鎖のライブイメージング
MCF7細胞層における創傷閉鎖のinvitro解析では、高さ35mmの-Dishにカルチャーインサート2Wellを用いてギャップ(隙間)を作成した。生理学的条件を作り出し、維持するためにステージトップインキュベーターを使用した。
※創傷閉鎖のタイムラプスビデオを作成するために、位相差顕微鏡画像を1時間ごとに撮影し、合計29時間にわたって撮影
※ステージトップインキュベーターを用いたライブセルイメージングにより、創傷治癒および細胞移動アッセイにおけるMCF7細胞のギャップ閉鎖が示されています。
※位相差顕微鏡:10倍対物レンズ使用
走化性アッセイ–ChemotaxisAssays-
走化性アッセイ中の細胞遊走のライブ可視化
µ-SlideChemotaxisとステージトップインキュベーターを使用し、生理学的条件
下での細胞移動を観察した。
※24時間以内に145枚の画像を10分間隔で撮影。これらの画像は、その後の細胞トラッキングのための生データとして使用される。
※ステージトップインキュベーターを用いたライブセルイメージングにより、走化性アッセイにおけるMDA-MB-231細胞の移動が確認された。
※µ-SlideChemotaxis内での位相差観察:4倍対物レンズ使用
ラミニン表面上を移動するB16-F1マウスメラノーマ細胞
µ-Dish35mm,highGlass Bottomのラミニンコーティング表面上を遊走するB16-F1マウスメラノーマ細胞のタイムラプス画像。
オリンパスX-81顕微鏡に100倍油浸対物レンズを装着し、ステージトップインキュベーターSlide/Dish(CO2-SilverLine)で、位相差顕微鏡画像を10分間取得した。
データ提供:JonasScholz氏、JanFaix教授(ハノーバー医科大学、ドイツ)
血管新生アッセイ–AngiogenesisAssays-
内皮細胞管形成のライブ顕微鏡観察
µ-Slide15Well3Dを用いて、内皮細胞(HUVEC)をMatrigel®層の上に播種した。ステージトップインキュベーターによって、生理学的条件が確立・維持された。チューブ形成のタイムラプスビデオを作成するために、低解像度の位相差顕微鏡画像を10分ごとに撮影し、合計24時間にわたって撮影した。
※ステージトップインキュベーターを用いたライブセルイメージングにより、血管新生アッセイにおけるHUVECの管腔形成が示されています。
※位相差観察:4倍対物レンズ使用
研究現場で活用されているお客様の声をご紹介
導入の決め手はここだった!現場の声が証明する高評価の理由とは?


高性能で取り扱いが非常に簡単
ibidiステージトップインキュベーターCO₂/O₂(SilverLine)の長期実験での性能に非常に満足しています。
取り扱いは非常に簡単で、XY安定性が印象的です。環境を一定に保つことのできるステージトップインキュベーターの性能は、細胞を生存させ、ピントも安定し、一貫して鮮明な画像を得られます。
製品選択ガイド
価格情報
| CatNo. | 製品名 | 単位 | 価格(税抜) |
|---|---|---|---|
| ステージトップインキュベーター(スライド/ディッシュ用) | |||
| ib12720 | Silver Line Stage Top Incubator Slide/Dish, CO₂(ib12110 + ib11921) | 1式 | ¥5,556,000 |
| ib12722 | Silver Line Stage Top Incubator Slide/Dish, CO₂/O₂(ib12110 + ib11923) | 1式 | ¥6,089,000 |
| ステージトップインキュベーションシステム(マルチウェルプレート用) | |||
| ib12724 | Silver Line Stage Top Incubator Multiwell Plate, CO₂(ib12150 + ib11921) | 1式 | ¥5,357,000 |
| ib12726 | Silver Line Stage Top Incubator Multiwell Plate, CO₂/O₂(ib12150 + ib11923) | 1式 | ¥5,890,000 |
※価格は2025年10月現在のものです。(単品販売もございます)
※ibidiステージトップインキュベーターの詳細・価格はこちら
デモ依頼受付中
まずはデモ機で実際の操作感をお試しください。
※デモ機の対象装置は「Silver Line ステージトップインキュベーター CO₂/O₂、スライド/ディッシュ」となります。
※本製品はワケンビ―テック株式会社と国内販売協業契約を締結しております。デモの実施、同行訪問によるサポート・修理・保守対応は同社による実施となりますので予めご了承ください。
ibidi ポンプシステム
製品特長
- 左右シリンジのチャンネル切り換えで、途切れることなく長期間一定方向の灌流が可能
- ibidi社の様々なタイプのフロー培養用スライドから選択可能
- 専用ソフトにより、簡単にフロー条件のプログラムが設定可能
- シェアストレスの強さや、定流速/脈動など自由自在
ibidiポンプシステムは、定常層流、パルス、振動流を人工的に作り出すことができ、より生体内に近い条件での細胞研究を可能にします。
アプリノートお客様コメント
灌流条件下培養アッセイ–Cellcultureunderflowassays-
HUVEC(ヒト臍帯静脈内皮細胞)の灌流(perfusion)アッセイおよび免疫蛍光染色
アプリノートはこちら

岡山大学大学院 医歯学総合研究科 システム生理学
森松 賢順 様
ibidi社のポンプシステムはインキュベーター内に設置できるため、灌流下での細胞培養が可能である。また、従来の灌流システムに比べ、培地量が少ないこと、流量制御が正確であることが本システムの優れた点である。
複数台のポンンプシステムを使用することで、網羅的な計測システムの構築が可能と考える。
HUVEC(ヒト臍帯静脈内皮細胞)とHPA-SMC(ヒト肺動脈平滑筋細胞)の灌流(perfusion)アッセイ
アプリノートはこちら

産業技術総合研究所創薬基盤研究部門ステムセルバイオテクノロジー研究グループ
木田 泰之 様
操作が簡便で、また精密に制御が可能な灌流システムとして大変魅力を感じました。生体を模写する実験システムの構築が望まれる中で、このポンプシステムだけでなく、ibidi社の様々な培養デバイスにも興味を持っています。特に本実験には、内皮細胞と平滑筋細胞を隔離培養できるibidiPoreFlowが望ましいと思っています。
この度は実験系のセットアップから助言いただき、誠に感謝しております。
HUVEC(ヒト臍帯静脈内皮細胞)の灌流(perfusion)アッセイ
アプリノートはこちら

愛媛大学プロテオ医学研究センター 愛媛-ニコンバイオイメージングコアラボラトリー
井上 博文 様
<井上先生コメント>
ぺリスタポンプと違って、安定したシェアストレスをかけられるのが、良かった。操作が思ったよりも簡単であった。ゲル内での血管形成に対してシェアストレスがかけられるようなデバイスがほしい。並列して異なるシェアストレスがかけられるようにしてもらいたい。
<鹿田先生、泉谷先生コメント>
下準備も簡易であり、装置の操作手技自体も容易に習得可能です。種々のシェアストレス条件下で細胞の形態の観察が可能であり、細胞を回収すればmolecularな手法でも検討可能です。オーダーメイドのディッシュにも対応して下さり、感謝致しております。
フローコンディショニングHUVECの免疫蛍光染色
蛍光顕微鏡を用いた、静的および流動条件下でのHUVEC(ヒト臍帯静脈内皮細胞)構造の比較
(左)µ-Dish35mm、-Dish35mm,highibiTreatで5日間の静的培養(0dyn/cm²)後の細胞構造
(右)µ-SlideI0.4Luer、ibiTreatで5日間の流動培養(10dyn/cm²、ibidiPumpSystemを使用)後の細胞構造
静的条件下では、HUVECは一般的に大きく、アクチン骨格が無秩序に構造化されています。
対照的に、流動条件下では細胞は細長く、明瞭なF-アクチンストレスファイバー(ファロイジン染色、赤)が見られます。接着結合を示すVEカドヘリン(緑)は、どちらの条件でも存在します。核はDAPI(青)で染色されています。
肺血管内皮細胞(HPMEC)の位相差顕微鏡および蛍光顕微鏡検査
ヒト肺微小血管内皮細胞(HPMEC)の位相差顕微鏡(A)と蛍光顕微鏡(B)静置培養(C)とibidiポンプシステムを用いた2.3dym/cm²での流動培養72時間後(D)*¹
*1:緑:β-アクチン、赤:VE-カドヘリン、青:DAPI
※データ提供:DanielBourquain、ロベルト・コッホ研究所(ドイツ、ベルリン)
内皮細胞上での白血球のローリングと接着
µ-SlideVI0.4におけるLPS刺激脳血管内皮細胞(CVEC)上における多形核白血球のローリングと接着。顆粒球はibidiポンプシステムを用いて1dym/cm²で灌流された。
※データ提供:GediminasCepinskas(カナダ、オンタリオ州)
研究現場で活用されているお客様の声をご紹介
『簡単なのに高性能』と話題!研究者が実感したメリットとは?

ibidiポンプシステムのおかげで、フロー下での内皮細胞観察は当ラボの標準となっています。
長年にわたりibidiポンプシステムとラボウェアを使用しています。ibidiのプラスチック製品は、細胞培養やあらゆる種類のイメージング
に最適で、自動イメージング(フォーカスが容易)ができ、さまざまな蛍光観察(透明で光学的に優れたプラスチック)に対応しています。
実際、ibidiポンプシステムのおかげで、フロー下での内皮細胞観察は当ラボの標準となっています。

工学の知識がなくても、invitroで生理学的シェアストレスパターンを容易に研究できるようになりました。
µ-SlideILuer(ib80176)は、複雑な流動パターン条件下での内皮細胞の培養を容易にします。
私たちの研究では、シェアストレスが酸化還元シグナル伝達経路に及ぼす影響に関心を持っており、ibidiポンプシステムと流体ユニットはその実験に最適なシステムといえます。
µ-Slideは、生細胞と固定細胞の両方のイメージング、タンパク質やRNAサンプルの採取、その他の細胞分析に便利です。このシステムによって、工学の知識がなくても、invitroで生理学的シェアストレスパターンを容易に研究できるようになりました。

扱いやすく、大変気に入っています。
ハンタウイルスは生体内で特異的に内皮細胞に感染し、この疾患は内皮細胞の機能不全を特長とします。私たちの実験の目標の一つは、宿主指向性治療の観点からハンタウイルス感染症の治療における新たな薬剤標的を特定することです。この目的のため、µ-SlideILuer0.6
(ib80176)を使用しながら、ibidiポンプシステムを使用しています。ibidi製品は扱いやすく、大変気に入っています。
価格情報
| CatNo. | 製品名 | 単位 | 価格(税抜) |
|---|---|---|---|
| ib10902 | ibidi Pump System (ポンプ本体、シリンジ固定ユニット、PC) |
1式 | ¥4,790,000 |
※価格は2025年10月現在のものです。
ibidi Pump Systemの詳細・価格はこちら
※ibidiポンプシステムの販売について
本製品はワケンビ―テック株式会社と国内販売協業契約を締結しております。デモの実施、同行訪問によるサポート・修理・保守対応は同社による実施となりますので予めご了承ください。
デモ依頼受付中
まずはデモ機で実際の操作感をお試しください。
※本製品はワケンビ―テック株式会社と国内販売協業契約を締結しております。デモの実施、同行訪問によるサポート・修理・保守対応は同社による実施となりますので予めご了承ください。
この記事で紹介した製品
各製品の詳細については下記リンクよりご覧ください。









ibidiポンプシステムとの組み合わせでより長期のイメージング実験が可能
私たちは、内皮細胞のシグナル伝達におけるフローパターンの影響を研究するために、ibidiポンプシステムを使用しています。
ibidi-Slideは、血流のinvitroシミュレーションに適しており、チャンネルの高さやコーティング、形状が選べるうえ、光学的に透明で高解像度イメージングにも対応しています。
また、ibidiステージトップインキュベーションシステムを用いることで、96時間にわたる長期のライブセルイメージング実験を実現することができます。CO₂、温度、湿度を安定して維持することができ、設置も簡単でした。このシステムは、当社のZeissAxioObserver7倒立顕微鏡と完全に互換性があり、内皮細胞のカルシウムシグナルとリアルタイムのフロー応答を、タイムラプスで美しく記録することができました。